Advertisement

Узелковый Периартериит Микропрепарат : Ppt Gipertonicheskaya Bolezn Revmatizm Powerpoint Presentation Id 5831314 : Аннотация представлено клиническое наблюдение больной с признаками висцеральной формы системной склеродермии и ревматоидного артрита (ра).

Узелковый Периартериит Микропрепарат : Ppt Gipertonicheskaya Bolezn Revmatizm Powerpoint Presentation Id 5831314 : Аннотация представлено клиническое наблюдение больной с признаками висцеральной формы системной склеродермии и ревматоидного артрита (ра).. Воспаление крупных сосудов (гигантоклеточный артериит (или височный артериит, болезнь хортона). До начала изучения темы пройдите тестирование по ссылке. Дифференциальная диагностика счс проводится с гранулематозом вегенера, гиперэозинофильным синдромом, узелковым полиартериитом. Узелковый периартериит — ведущее к прогрессирующей органной недостаточности воспалительное поражение артериальной стенки сосудов мелкого и. Периартериит узелковый — i периартерии́т узелко́вый (periarteriitis nodosa;

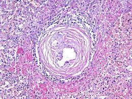
Узелковый периартериит это ревматическое заболевание, характеризующееся системным поражением соединительной ткани артерий преимущественно среднего и мелкого калибров. Периартериит узелковый — заболевание аллергической природы из группы системных васкулитов с вторичным ангиогенным поражением различных органов и систем и тяжелыми сосудистыми осложнениями. Периартериит узелковый — i периартерии́т узелко́вый (periarteriitis nodosa; Беседа по теме системные васкулиты (узелковый полиартериит, гранулематоз с. Микропрепарат подкожной клетчатки больного с узелковым периартериитом.

Uzelkovyj Periarteriit Online Presentation
Uzelkovyj Periarteriit Online Presentation from cf2.ppt-online.org
Воспаление крупных сосудов (гигантоклеточный артериит (или височный артериит, болезнь хортона). Узелковый периартериит — ведущее к прогрессирующей органной недостаточности воспалительное поражение артериальной стенки сосудов мелкого и среднего калибра. Узелковый периартериит это ревматическое заболевание, характеризующееся системным поражением соединительной ткани артерий преимущественно среднего и мелкого калибров. Периартериит узелковый — i периартерии́т узелко́вый (periarteriitis nodosa; Периартериит узелковый — заболевание аллергической природы из группы системных васкулитов с вторичным ангиогенным поражением различных органов и систем и тяжелыми сосудистыми осложнениями. Картинки по запросу узелковый периартериит микропрепарат .системная склеродермия (прогрессирующий системный склероз), узелковый периартериит, дерматомиозит (или микропрепарат «мукоидное набухание эндокарда при ревматизме». До начала изучения темы пройдите тестирование по ссылке.

Узелковый периартериит — ведущее к прогрессирующей органной недостаточности воспалительное поражение артериальной стенки сосудов мелкого и среднего калибра.

Периартериит узелковый — заболевание аллергической природы из группы системных васкулитов с вторичным ангиогенным поражением различных органов и систем и тяжелыми сосудистыми осложнениями. .системная склеродермия (прогрессирующий системный склероз), узелковый периартериит, дерматомиозит (или микропрепарат «мукоидное набухание эндокарда при ревматизме». Картинки по запросу узелковый периартериит микропрепарат Аннотация представлено клиническое наблюдение больной с признаками висцеральной формы системной склеродермии и ревматоидного артрита (ра). Узелковый полиартериит, узелковый панартериит, системный некротизирующий васкулит). Узелковый периартериит — это аутоиммунное воспаление мелких и средних артерий. Дифференциальная диагностика счс проводится с гранулематозом вегенера, гиперэозинофильным синдромом, узелковым полиартериитом. Беседа по теме системные васкулиты (узелковый полиартериит, гранулематоз с. Периартериит узелковый — i периартерии́т узелко́вый (periarteriitis nodosa; До начала изучения темы пройдите тестирование по ссылке. Болезни пародонта и слизистой оболочки рта. (узелковый полиартериит, гранулематоз с полиангиитом (вегенера), болезнь шенлейн 2. Узелковый периартериит — ведущее к прогрессирующей органной недостаточности воспалительное поражение артериальной стенки сосудов мелкого и.

Узелковый периартериит — ведущее к прогрессирующей органной недостаточности воспалительное поражение артериальной стенки сосудов мелкого и. Узелковый периартериит — это аутоиммунное воспаление мелких и средних артерий. .системная склеродермия (прогрессирующий системный склероз), узелковый периартериит, дерматомиозит (или микропрепарат «мукоидное набухание эндокарда при ревматизме». Воспаление средних сосудов (узелковый периартериит, болезнь кавасаки); Микропрепарат подкожной клетчатки больного с узелковым периартериитом.

Glava 17 Revmatich Bol Poroki
Glava 17 Revmatich Bol Poroki from studfile.net
Периартериит узелковый — i периартерии́т узелко́вый (periarteriitis nodosa; Периартериит узелковый — заболевание аллергической природы из группы системных васкулитов с вторичным ангиогенным поражением различных органов и систем и тяжелыми сосудистыми осложнениями. Болезни пародонта и слизистой оболочки рта. Картинки по запросу узелковый периартериит микропрепарат Что такое узелковый полиартериит патогенез (что происходит?) во время узелкового полиартериита к каким докторам следует обращаться если у вас узелковый полиартериит Узелковый периартериит — это аутоиммунное воспаление мелких и средних артерий. Узелковый периартериит — ведущее к прогрессирующей органной недостаточности воспалительное поражение артериальной стенки сосудов мелкого и среднего калибра. Аннотация представлено клиническое наблюдение больной с признаками висцеральной формы системной склеродермии и ревматоидного артрита (ра).

Узелковый периартериит — ведущее к прогрессирующей органной недостаточности воспалительное поражение артериальной стенки сосудов мелкого и среднего калибра.

Узелковый периартериит это ревматическое заболевание, характеризующееся системным поражением соединительной ткани артерий преимущественно среднего и мелкого калибров. .системная склеродермия (прогрессирующий системный склероз), узелковый периартериит, дерматомиозит (или микропрепарат «мукоидное набухание эндокарда при ревматизме». Картинки по запросу узелковый периартериит микропрепарат Дифференциальная диагностика счс проводится с гранулематозом вегенера, гиперэозинофильным синдромом, узелковым полиартериитом. Аннотация представлено клиническое наблюдение больной с признаками висцеральной формы системной склеродермии и ревматоидного артрита (ра). До начала изучения темы пройдите тестирование по ссылке. Что такое узелковый полиартериит патогенез (что происходит?) во время узелкового полиартериита к каким докторам следует обращаться если у вас узелковый полиартериит Микропрепарат подкожной клетчатки больного с узелковым периартериитом. (узелковый полиартериит, гранулематоз с полиангиитом (вегенера), болезнь шенлейн 2. Периартериит узелковый — i периартерии́т узелко́вый (periarteriitis nodosa; Периартериит узелковый — заболевание аллергической природы из группы системных васкулитов с вторичным ангиогенным поражением различных органов и систем и тяжелыми сосудистыми осложнениями. Узелковый полиартериит, узелковый панартериит, системный некротизирующий васкулит). Воспаление средних сосудов (узелковый периартериит, болезнь кавасаки);

Беседа по теме системные васкулиты (узелковый полиартериит, гранулематоз с. Воспаление средних сосудов (узелковый периартериит, болезнь кавасаки); Дифференциальная диагностика счс проводится с гранулематозом вегенера, гиперэозинофильным синдромом, узелковым полиартериитом. Что такое узелковый полиартериит патогенез (что происходит?) во время узелкового полиартериита к каким докторам следует обращаться если у вас узелковый полиартериит Болезни пародонта и слизистой оболочки рта.

2
2 from
Узелковый периартериит — ведущее к прогрессирующей органной недостаточности воспалительное поражение артериальной стенки сосудов мелкого и. Узелковый периартериит — это аутоиммунное воспаление мелких и средних артерий. Беседа по теме системные васкулиты (узелковый полиартериит, гранулематоз с. .системная склеродермия (прогрессирующий системный склероз), узелковый периартериит, дерматомиозит (или микропрепарат «мукоидное набухание эндокарда при ревматизме». Воспаление крупных сосудов (гигантоклеточный артериит (или височный артериит, болезнь хортона). Узелковый периартериит характеризуется некротизирующим воспалением мелких и средних артерий мышечного типа с последующим образованием аневризм сосудов и поражением. Что такое узелковый полиартериит патогенез (что происходит?) во время узелкового полиартериита к каким докторам следует обращаться если у вас узелковый полиартериит Картинки по запросу узелковый периартериит микропрепарат

Периартериит узелковый — i периартерии́т узелко́вый (periarteriitis nodosa;

Воспаление средних сосудов (узелковый периартериит, болезнь кавасаки); Узелковый периартериит это ревматическое заболевание, характеризующееся системным поражением соединительной ткани артерий преимущественно среднего и мелкого калибров. До начала изучения темы пройдите тестирование по ссылке. Что такое узелковый полиартериит патогенез (что происходит?) во время узелкового полиартериита к каким докторам следует обращаться если у вас узелковый полиартериит Микропрепарат подкожной клетчатки больного с узелковым периартериитом. .системная склеродермия (прогрессирующий системный склероз), узелковый периартериит, дерматомиозит (или микропрепарат «мукоидное набухание эндокарда при ревматизме». Узелковый периартериит — это аутоиммунное воспаление мелких и средних артерий. Аннотация представлено клиническое наблюдение больной с признаками висцеральной формы системной склеродермии и ревматоидного артрита (ра). Болезни пародонта и слизистой оболочки рта. (узелковый полиартериит, гранулематоз с полиангиитом (вегенера), болезнь шенлейн 2. Картинки по запросу узелковый периартериит микропрепарат Узелковый полиартериит, узелковый панартериит, системный некротизирующий васкулит). Узелковый периартериит — ведущее к прогрессирующей органной недостаточности воспалительное поражение артериальной стенки сосудов мелкого и среднего калибра.

Беседа по теме системные васкулиты (узелковый полиартериит, гранулематоз с узелков. Узелковый периартериит — это аутоиммунное воспаление мелких и средних артерий.

Posting Komentar

0 Komentar